Bei der Daumensattelgelenksarthrose oder Rhizarthrose handelt es sich um die häufigste Arthrose (Verschleißerkrankung) an der Hand. Davon sind Frauen häufiger betroffen als Männer. Nach Brüchen mit Gelenkbeteiligung tritt sie eher selten auf.
Besonders ist, dass manche Patienten in der Yuveo Klinik Düsseldorf, die im Röntgenbild eine ausgeprägte Arthrose des Daumensattelgelenkes zeigen, kaum Beschwerden haben.

Inhalt
Yuveo Klinik
Besonderheiten der Rhizarthrose
Besonders ist sicherlich, dass Patienten mit starker Arthrose manchmal kaum Beschwerden haben, aber jene mit relativ schwacher Rhizarthrose über vehemente Schmerzen und Einschränkungen berichten.
Rhizarthrose = Daumenarthrose
Konservative Behandlung
OP mit einer Spendersehne
Rhizarthrose - Gelenkersatz mit Eigengewebe in der Handchirurgie Düsseldorf
Die Operation der Daumensattelgelenksarthrose durch Gelenkersatz mit Eigengewebe (Sehne).
Die OP kann ambulant (abhängig von Nebenerkrankungen), aber auch stationär durchgeführt werden. Eine Plexusanästhesie (Armbetäubung in der Achselhöhle) wird häufig angewendet. Aber es gibt auch die Möglichkeit der sogenannten iv. Regionalanästhesie in Kombination mit einem Dämmerschlaf.
Bei der Rhizarthrose ist die Gelenkfläche zwischen dem großen Vieleckbein und dem ersten Mittelhandknochen geschädigt. Dieses Gelenk gilt es, bei der Operation zu entfernen und neu zu bilden. Zunächst wird über einen ca. 3–4 cm langen Schnitt an der streckseitigen Daumenbasis das große Vieleckbein entfernt.
Dabei schonen unsere Plastischen Chirurgen die Bänder, die Nerven, die für die Hautempfindung wichtig sind und die tiefer liegende Spendersehne.
Die Spendersehne stammt aus dem Unterarm. Es entsteht eine gute Pufferzone für die Basis des ersten Mittelhandknochens.
Der Mittelhandknochen wird durch ein Bohrloch mit der Sehne fixiert.
Anschließend wird diese Sehne verknotet und dieser Knoten mit zusätzlichen Nähten stabilisiert. Der Knoten füllt, wie oben beschrieben, die entstandene Lücke.
Häufige Fragen zur Daumensattelgelenksarthrose
Wie entsteht die Rhizarthrose?
Die Rhizarthrose wird auch Daumensattelgelenksarthrose, Sattelgelenksarthrose oder vom Laien einfach Daumenarthrose genannt.
Bei der Rhizarthrose besteht oft eine erbliche Vorbelastung.
Auch Basisbrüche des 1. Mittelhandknochens mit Gelenkbeteiligung können zum Verschleiß des Daumensattelgelenkes führen.
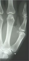
Auf dem Röntgenbild sehen Sie einen verschmälerten Gelenkspalt, der in fortgeschrittenen Fällen komplett verschwunden ist. Handchirurgen sprechen hier auch von einer Knochenglatze, da das Gelenk keine Knorpelschicht mehr aufweist. Das Endstadium der Rhizarthrose besteht in der Gelenksteife.
Anatomie:
Das Daumensattelgelenk ist am Handgelenk an der Basis des Daumens lokalisiert. Wenn Sie Ihren Daumen strecken, können Sie an seiner Basis streckseitig zwei Sehnen erkennen, die sich anspannen. Drücken Sie dann in das dazwischen liegende Grübchen (am körperfernen Teil des Grübchens), ertasten Sie das große Vieleckbein (ein Handwurzelknochen), welches mit dem ersten Mittelhandknochen das Sattelgelenk bildet. Der Name beschreibt die Beziehung der beiden Knochen zueinander. Der 1. Mittelhandknochen sitzt auf dem Vieleckbein wie ein Reiter auf dem Sattel.


Was sind typische Beschwerden der Daumenarthrose?
Die Ausprägung der Schmerzen bei der Rhizarthrose ist abhängig vom Stadium der Erkrankung.
Die Beschwerden betreffend, liegt eine erstaunliche individuelle Variabilität vor. Es gibt Patienten, die zu uns in die Handchirurgie in Düsseldorf kommen, die trotz stärkster Arthrose im Röntgenbild kaum einen Leidensdruck verspüren und umgekehrt. Die Schmerzen am Daumen sind meist belastungs- und oft wetterabhängig (Wetterfühligkeit). Oft tritt nach starker Beanspruchung des Daumens eine sogenannte Aktivierung der Rhizarthrose auf, bei der unser Handchirurgen-Team eine Schwellung, Zunahme der Schmerzen und manchmal auch eine Rötung feststellen kann.
Durch die Minderbenutzung des Daumens entsteht ein Schwund der Daumenmuskulatur, die zur Schwäche führt. Die Umbauvorgänge betreffen nicht nur die Muskulatur, sondern unser Düsseldorfer Team kann diese auch an Knochen und Bändern beobachten. Die Knochendichte nimmt ab, das Gelenk wird instabil und der 1. Mittelhandknochen rutscht speichenwärts. Letzteres nennt man in der Handchirurgie Subluxation, was im Rahmen einer fortgeschrittenen Rhizarthrose häufig anzutreffen ist.
Wie lässt sich diese Arthrose konservativ behandeln?
Die konservative Behandlung einer Daumensattelgelenksarthrose besteht aus der Ruhigstellung des Gelenkes und Hemmung der Entzündung (Entzündung ohne Bakterien!).
Medikamente
Dazu legt unser Düsseldorfer Team Salbenverbände an und rezeptiert sogenannte nichtsteroidale Antirheumatika (NSAR).
Bei Bedarf können wir auch eine Injektion mit entzündungshemmenden Medikamenten (NSAR) in das Daumensattelgelenk vornehmen.
Schienen
Die Ruhigstellung erreichen wir mit speziellen Schienen, die durch Klettverschluss fixiert werden. Sie stellen das Daumengrund- und Sattelgelenk ruhig. Die Schienen werden zeitweise (nachts oder bei Belastung) getragen.
Wie erfolgt die Nachbehandlung der Daumensattelgelenksarthrose nach einer OP in der Handchirurgie in Düsseldorf?
Hier wird die Nachbehandlung nach einem Gelenkersatz mit Eigengewebe (Resektionsinterpositionsarthroplastik) dargestellt, wie sie von Dr. Schumann in der YUVEO-Klinik in Düsseldorf durchgeführt wird. Da bei der Operation kein Metall eingesetzt wird, ist eine lange Fixierung des Sattelgelenkes im Gips nicht nötig.
Wie sieht die Behandlung der Rhizarthrose nach einer Resektionsarthroplastik aus?
Nach der Resektionsinterpositionsarthroplastik bei der Rhizarthrose ist eine zweiwöchige Ruhigstellung des Daumens durch eine Daumengipsschiene Standard.
Anschließend entfernen wir die Fäden und legen einen Watteverband für weitere 2 Wochen an. Mit diesem Verband können unter Anleitung bereits ab der dritten Woche vorsichtige Bewegungsübungen ohne Belastung durchgeführt werden. Ein Verkleben der Sehnen und Bänder soll dadurch verhindert werden. Der Belastungsaufbau beginnt dann vorsichtig ab der 5. Woche.
Eine komplette Einsatzfähigkeit der Hand ohne Einschränkungen ist nach ca. 2–3 Monaten zu erwarten.
Faktencheck nach Gelenkersatz mit Eigengewebe
- Behandler: Dr. Schumann und Dr. Schumann-Averkiou
- Betäubung: Betäubung in der Achselhöhle, Dämmerschlaf
- Klinikaufenthalt: meist ambulant, auch stationär
- Nachbehandlung: 2 Wochen Schiene, dann 2 Wochen Watteverband
- Belastungsaufbau: nach 3 Wochen vorsichtige Bewegungsübungen,etwa nach 5 Wochen Belastungsaufbau
- Komplette Einsatzfähigkeit: nach 2 bis 3 Monaten
Verwandte Themen und weiter Informationen
Fachbegriffe:
- Carpometacarpalgelenksarthrose = Rhizarthrose = Daumenarthrose
- Musculus flexor carpi radialis = Unterarmmuskel, hier wird die Spendersehne für die OP gewonnen.
- Os trapezium = Vieleckbein des Daumen
Verwandte Themen:
Weitere Informationen:
